Anterior Talofibular Ligament Tear

Anterior Talofibular Ligament Tear

Ankle injuries are a common occurrence, especially among athletes and individuals who engage in physical activities. One of the most frequent types of ankle injuries is an Anterior Talofibular Ligament Tear. This injury involves the tearing of the anterior talofibular ligament (ATFL), which is one of the key ligaments that stabilize the ankle joint. Understanding the causes, symptoms, diagnosis, and treatment options for an Anterior Talofibular Ligament Tear is crucial for effective management and recovery.

Understanding the Anterior Talofibular Ligament

The anterior talofibular ligament is located on the outer side of the ankle and connects the talus bone in the foot to the fibula bone in the lower leg. Its primary function is to prevent excessive forward movement of the talus bone, thereby providing stability to the ankle joint. The ATFL is one of the three main ligaments that make up the lateral collateral ligament complex of the ankle, along with the calcaneofibular ligament and the posterior talofibular ligament.

Causes of an Anterior Talofibular Ligament Tear

An Anterior Talofibular Ligament Tear typically occurs due to sudden twisting or rolling of the ankle, often during physical activities such as sports. Common causes include:

  • Sports Injuries: Activities like basketball, soccer, and running increase the risk due to sudden changes in direction or landing awkwardly.
  • Falls: Tripping or falling and landing on the ankle can cause a tear.
  • Overuse: Repetitive stress on the ankle, such as in dance or gymnastics, can weaken the ligament over time.
  • Previous Injuries: Individuals who have previously injured their ankle are more susceptible to re-injury.

Symptoms of an Anterior Talofibular Ligament Tear

Recognizing the symptoms of an Anterior Talofibular Ligament Tear is essential for prompt treatment. Common symptoms include:

  • Pain: Immediate and often severe pain on the outer side of the ankle.
  • Swelling: Rapid swelling around the ankle joint.
  • Bruising: Discoloration may appear within a few hours to a few days.
  • Instability: A feeling of the ankle giving way or being unstable.
  • Difficulty Walking: Pain and instability can make it difficult to bear weight on the affected foot.

Diagnosing an Anterior Talofibular Ligament Tear

Diagnosing an Anterior Talofibular Ligament Tear involves a combination of physical examination and imaging tests. The diagnostic process typically includes:

  • Physical Examination: A healthcare provider will assess the ankle for swelling, tenderness, and range of motion. They may also perform specific tests, such as the anterior drawer test, to evaluate the stability of the ATFL.
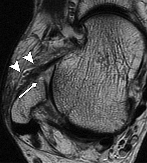
  • Imaging Tests: X-rays can rule out fractures, while MRI or ultrasound can provide detailed images of the ligament to confirm the tear.

Treatment Options for an Anterior Talofibular Ligament Tear

The treatment for an Anterior Talofibular Ligament Tear depends on the severity of the injury. Options range from conservative measures to surgical intervention.

Conservative Treatment

For mild to moderate tears, conservative treatment is often sufficient. This may include:

  • RICE Method: Rest, Ice, Compression, and Elevation to reduce pain and swelling.
  • Immobilization: Using a brace or cast to keep the ankle stable and promote healing.
  • Physical Therapy: Exercises to strengthen the muscles around the ankle and improve range of motion.
  • Pain Management: Over-the-counter pain relievers or prescription medications to manage pain and inflammation.

Surgical Treatment

In cases of severe tears or when conservative treatment fails, surgery may be necessary. Surgical options include:

  • Arthroscopic Repair: Minimally invasive surgery to repair the torn ligament using small incisions and a camera.
  • Open Repair: Traditional surgery involving a larger incision to directly repair the ligament.
  • Ligament Reconstruction: In severe cases, the damaged ligament may be reconstructed using a graft from another part of the body or a donor.

Recovery and Rehabilitation

Recovery from an Anterior Talofibular Ligament Tear involves a structured rehabilitation program to regain strength, flexibility, and stability. Key components of rehabilitation include:

  • Early Phase: Focus on reducing pain and swelling, followed by gentle range-of-motion exercises.
  • Intermediate Phase: Strengthening exercises for the ankle and lower leg muscles.
  • Advanced Phase: Proprioceptive training to improve balance and coordination, and functional exercises to prepare for return to activities.

📝 Note: The duration of rehabilitation can vary depending on the severity of the tear and individual healing rates. It is important to follow the guidance of a healthcare provider or physical therapist to ensure a safe and effective recovery.

Preventing Future Injuries

Preventing future Anterior Talofibular Ligament Tears involves several strategies to strengthen the ankle and improve overall stability. Key preventive measures include:

  • Strengthening Exercises: Regular exercises to strengthen the muscles around the ankle, such as calf raises and resistance band exercises.
  • Balance Training: Incorporating balance and proprioceptive exercises to improve ankle stability.
  • Proper Footwear: Wearing supportive shoes that provide adequate ankle support during physical activities.
  • Gradual Return to Activity: Gradually increasing the intensity and duration of physical activities to allow the ankle to adapt and strengthen.

When to Seek Medical Attention

It is important to seek medical attention if you experience any of the following after an ankle injury:

  • Severe Pain: Intense pain that does not improve with rest and ice.
  • Inability to Bear Weight: Difficulty walking or standing on the affected foot.
  • Significant Swelling: Rapid and extensive swelling around the ankle.
  • Deformity: Visible deformity or misalignment of the ankle.

Prompt medical evaluation can help determine the extent of the injury and guide appropriate treatment.

An Anterior Talofibular Ligament Tear is a common but manageable injury. With proper diagnosis, treatment, and rehabilitation, individuals can recover and return to their normal activities. Understanding the causes, symptoms, and preventive measures can help minimize the risk of future injuries and promote long-term ankle health.

Related Terms:

  • anterior talofibular ligament tear symptoms
  • complete anterior talofibular ligament tear
  • completely torn anterior talofibular ligament
  • anterior talofibular ligament complete rupture
  • torn anterior talofibular ligament treatment
  • anterior talofibular ligament tear management