Alveolar Soft Part Sarcoma

Alveolar Soft Part Sarcoma

Alveolar Soft Part Sarcoma (ASPS) is a rare and aggressive form of cancer that primarily affects young adults and adolescents. It is characterized by its unique histological features and a tendency to metastasize to various organs, including the lungs, brain, and bones. Understanding the intricacies of this disease is crucial for early detection, effective treatment, and improved patient outcomes.

Understanding Alveolar Soft Part Sarcoma

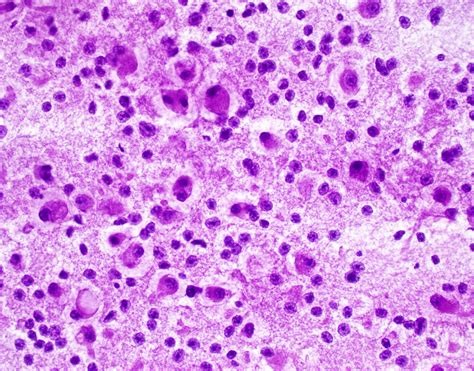
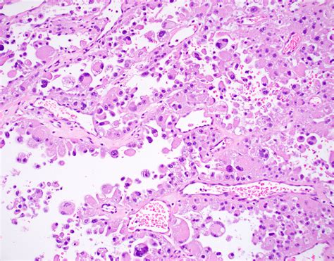
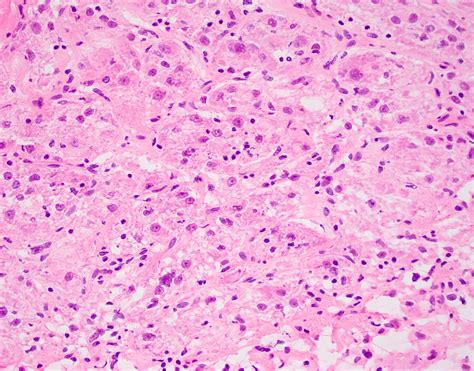
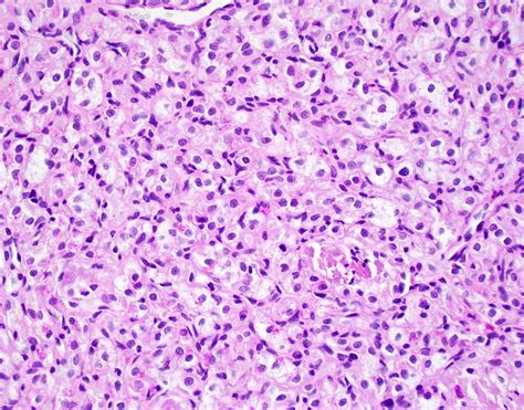
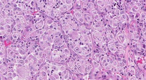
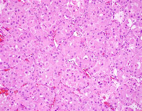
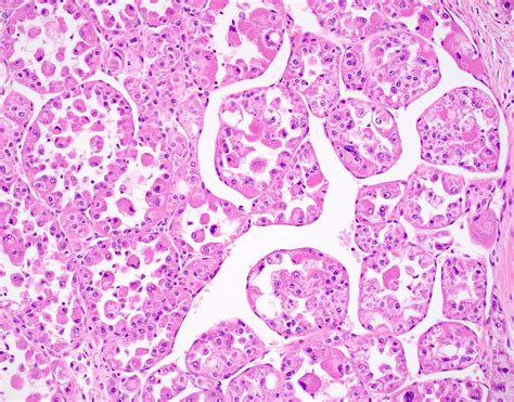
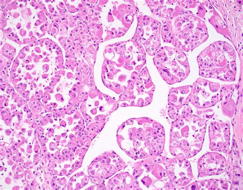
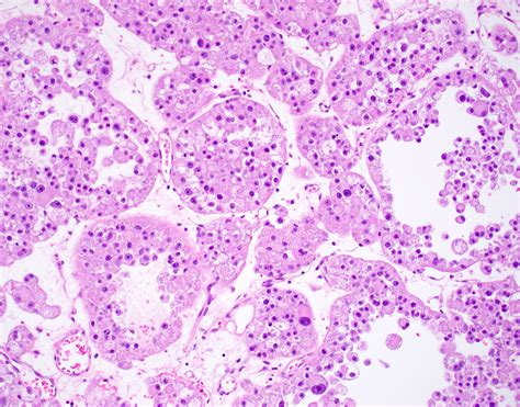
ASPS is a type of soft tissue sarcoma that originates from the mesenchymal cells, which are responsible for the formation of connective tissues. The disease is named for its distinctive alveolar pattern under the microscope, which resembles the structure of lung alveoli. This pattern is a key diagnostic feature that helps differentiate ASPS from other types of sarcomas.

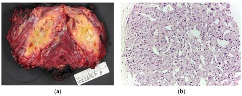
ASPS is known for its slow but relentless growth. It often presents as a painless, slow-growing mass that can be found in various parts of the body, including the extremities, trunk, and head and neck region. The most common sites of metastasis include the lungs, brain, and bones, making it a particularly challenging disease to manage.

Diagnosis of Alveolar Soft Part Sarcoma

Diagnosing ASPS involves a combination of clinical evaluation, imaging studies, and histopathological examination. The diagnostic process typically includes the following steps:

  • Clinical Evaluation: A thorough medical history and physical examination are essential. The doctor will assess the size, location, and characteristics of the tumor.
  • Imaging Studies: Imaging techniques such as X-rays, CT scans, MRI, and PET scans are used to visualize the tumor and determine its extent and spread. These studies help in staging the disease and planning treatment.
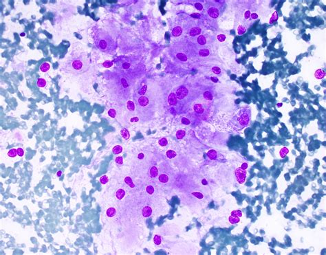
  • Biopsy: A biopsy involves taking a small sample of the tumor tissue for histopathological examination. This is crucial for confirming the diagnosis of ASPS and ruling out other types of sarcomas.

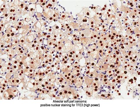
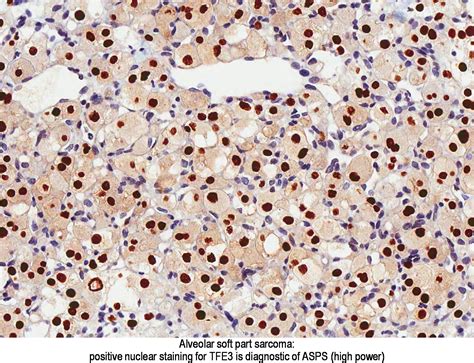
Histopathological examination reveals the characteristic alveolar pattern of ASPS, which is essential for a definitive diagnosis. Additionally, immunohistochemical staining and molecular genetic testing can provide further confirmation.

Treatment Options for Alveolar Soft Part Sarcoma

The treatment of ASPS depends on various factors, including the size and location of the tumor, the stage of the disease, and the patient's overall health. The primary treatment options include surgery, radiation therapy, and chemotherapy. In some cases, targeted therapies and immunotherapy may also be considered.

Surgery

Surgery is the mainstay of treatment for ASPS. The goal is to completely remove the tumor with clear margins to minimize the risk of recurrence. The type of surgery depends on the location and extent of the tumor. For example, limb-sparing surgery may be performed for tumors in the extremities, while more extensive procedures may be required for tumors in the trunk or head and neck region.

In some cases, amputation may be necessary if the tumor is large or if it involves critical structures that cannot be preserved. However, advancements in surgical techniques and reconstructive surgery have made it possible to preserve limb function in many patients.

Radiation Therapy

Radiation therapy may be used as an adjunct to surgery to reduce the risk of local recurrence. It can be administered before surgery (neoadjuvant) or after surgery (adjuvant) depending on the individual case. Radiation therapy is particularly useful for tumors that are difficult to completely resect or for patients with positive surgical margins.

Radiation therapy can also be used as a palliative treatment to relieve symptoms in patients with metastatic disease. It can help shrink tumors and alleviate pain, improving the quality of life for these patients.

Chemotherapy

Chemotherapy is generally less effective for ASPS compared to other types of sarcomas. However, it may be used in combination with surgery and radiation therapy for patients with advanced or metastatic disease. Common chemotherapy agents used for ASPS include doxorubicin, ifosfamide, and dacarbazine.

Chemotherapy can have significant side effects, including nausea, vomiting, hair loss, and fatigue. The benefits of chemotherapy must be carefully weighed against the potential risks and side effects for each patient.

Targeted Therapies and Immunotherapy

Recent advancements in molecular biology have led to the development of targeted therapies and immunotherapy for ASPS. These treatments aim to specifically target the molecular pathways involved in tumor growth and progression. For example, tyrosine kinase inhibitors and angiogenesis inhibitors are being investigated for their potential to treat ASPS.

Immunotherapy, which harnesses the body's immune system to fight cancer, is another promising area of research. Checkpoint inhibitors and chimeric antigen receptor (CAR) T-cell therapy are among the immunotherapy approaches being explored for ASPS.

Prognosis and Follow-Up

The prognosis for patients with ASPS varies depending on several factors, including the stage of the disease, the size and location of the tumor, and the patient's overall health. Early detection and complete surgical resection are associated with better outcomes. However, the disease's tendency to metastasize to distant organs makes long-term survival challenging.

Regular follow-up is essential for monitoring patients with ASPS. Follow-up visits typically include physical examinations, imaging studies, and laboratory tests to detect any signs of recurrence or metastasis. The frequency of follow-up visits may vary depending on the individual case, but it is generally recommended to have regular check-ups for at least five years after treatment.

Patients with ASPS should be aware of the potential long-term effects of treatment, including the risk of secondary cancers and other health complications. Regular follow-up with a multidisciplinary team, including oncologists, surgeons, and radiation oncologists, is crucial for managing these risks and ensuring the best possible outcomes.

📝 Note: Patients with ASPS should be encouraged to participate in clinical trials and research studies to contribute to the development of new treatments and improve our understanding of this rare disease.

Support and Resources for Patients with Alveolar Soft Part Sarcoma

Living with ASPS can be challenging, both physically and emotionally. Patients and their families may benefit from various support resources, including support groups, counseling services, and educational materials. These resources can provide valuable information, emotional support, and practical advice for coping with the disease.

Support groups offer a platform for patients to connect with others who are going through similar experiences. Sharing stories, challenges, and successes can provide a sense of community and reduce feelings of isolation. Counseling services can help patients and their families manage the emotional impact of the disease, including anxiety, depression, and stress.

Educational materials, such as brochures, websites, and online forums, can provide valuable information about ASPS, its treatment options, and available resources. These materials can help patients and their families make informed decisions about their care and navigate the complexities of the healthcare system.

In addition to these resources, patients with ASPS may benefit from palliative care services, which focus on improving the quality of life for patients with advanced or metastatic disease. Palliative care can include pain management, symptom control, and emotional support, helping patients and their families cope with the challenges of living with ASPS.

It is important for patients with ASPS to stay informed about the latest research and treatment options. Regular communication with healthcare providers and participation in clinical trials can provide access to new therapies and contribute to the development of more effective treatments for this rare disease.

Patients with ASPS should also be aware of the potential financial and practical challenges associated with their care. Insurance coverage, financial assistance programs, and other resources can help alleviate some of these burdens and ensure that patients receive the care they need.

Finally, patients with ASPS should be encouraged to maintain a positive outlook and focus on their overall well-being. Engaging in activities that bring joy and fulfillment, such as hobbies, exercise, and social connections, can help improve quality of life and provide a sense of purpose during treatment and recovery.

In summary, Alveolar Soft Part Sarcoma is a rare and challenging disease that requires a multidisciplinary approach to diagnosis, treatment, and follow-up. Early detection, complete surgical resection, and regular follow-up are essential for improving patient outcomes. Support resources, including support groups, counseling services, and educational materials, can provide valuable information and emotional support for patients and their families. Ongoing research and clinical trials offer hope for the development of new treatments and improved outcomes for patients with ASPS.

Related Terms:

  • alveolar soft part sarcoma pathology
  • alveolar soft part sarcoma prognosis
  • alveolar soft part sarcoma histology
  • alveolar soft part sarcoma causes
  • alveolar soft part sarcoma symptoms
  • alveolar soft part sarcoma treatment