Albright Hereditary Osteodystrophy

Albright Hereditary Osteodystrophy

Albright Hereditary Osteodystrophy (AHO) is a rare genetic disorder that affects the development of bones and other tissues. It is characterized by short stature, obesity, and a round face, among other symptoms. AHO is caused by mutations in the GNAS gene, which plays a crucial role in various cellular processes. Understanding AHO involves delving into its genetic basis, clinical manifestations, diagnostic methods, and management strategies.

Understanding Albright Hereditary Osteodystrophy

Albright Hereditary Osteodystrophy is a complex condition that can present with a wide range of symptoms. The disorder is often associated with pseudohypoparathyroidism, a condition where the body does not respond properly to parathyroid hormone, leading to abnormalities in calcium and phosphorus metabolism.

Genetic Basis of AHO

AHO is primarily caused by mutations in the GNAS gene, which encodes the alpha subunit of the stimulatory G protein (Gsα). This protein is involved in signal transduction pathways that regulate various cellular functions. Mutations in GNAS can lead to reduced or absent Gsα activity, resulting in the clinical features of AHO.

There are two main types of AHO:

  • Pseudohypoparathyroidism Type 1a (PHP1a): This is the most common form and is characterized by resistance to multiple hormones, including parathyroid hormone (PTH), thyroid-stimulating hormone (TSH), and gonadotropins.
  • Pseudopseudohypoparathyroidism (PPHP): This form is similar to PHP1a but without hormonal resistance. Individuals with PPHP have the physical features of AHO but do not develop hormonal resistance.

Clinical Manifestations

The clinical features of AHO can vary widely among individuals. Some of the most common symptoms include:

  • Short Stature: Individuals with AHO often have a short stature, which can be due to premature fusion of the growth plates in the bones.
  • Obesity: Many individuals with AHO are overweight or obese, which can contribute to other health issues.
  • Round Face: A characteristic round face with a flat nasal bridge is often seen in individuals with AHO.
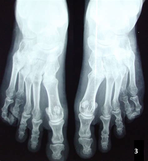
  • Brachydactyly: Shortening of the bones in the hands and feet, particularly the fourth and fifth metacarpals and metatarsals.
  • Subcutaneous Ossifications: These are small, hard lumps of bone that form under the skin, often in the hands, feet, and other areas.
  • Intellectual Disability: Some individuals with AHO may have mild to moderate intellectual disability.

Diagnostic Methods

Diagnosing AHO involves a combination of clinical evaluation, genetic testing, and laboratory tests. The diagnostic process typically includes:

  • Clinical Evaluation: A thorough physical examination to assess the characteristic features of AHO, such as short stature, obesity, and brachydactyly.
  • Genetic Testing: Molecular genetic testing to identify mutations in the GNAS gene. This can confirm the diagnosis and differentiate between PHP1a and PPHP.
  • Laboratory Tests: Blood tests to measure levels of calcium, phosphorus, and parathyroid hormone. Individuals with PHP1a may have low calcium levels and high phosphorus levels.

Management and Treatment

There is no cure for AHO, but management strategies can help alleviate symptoms and improve quality of life. Treatment options include:

  • Hormone Replacement Therapy: For individuals with PHP1a, hormone replacement therapy may be necessary to manage hormonal imbalances. This can include calcium and vitamin D supplements to correct calcium and phosphorus levels.
  • Diet and Lifestyle Modifications: A balanced diet and regular exercise can help manage obesity and maintain overall health.
  • Orthopedic Interventions: Surgical procedures may be required to correct skeletal abnormalities, such as brachydactyly or subcutaneous ossifications.
  • Physical Therapy: Physical therapy can help improve mobility and reduce the risk of complications associated with skeletal abnormalities.

Living with Albright Hereditary Osteodystrophy

Living with AHO can present unique challenges, but with proper management and support, individuals can lead fulfilling lives. It is essential for individuals with AHO and their families to:

  • Educate Themselves: Learn about the condition, its symptoms, and management strategies to better understand and cope with AHO.
  • Seek Support: Connect with support groups and healthcare providers who can offer guidance and emotional support.
  • Maintain a Healthy Lifestyle: Adopt a balanced diet, engage in regular physical activity, and follow the recommended treatment plan.

Albright Hereditary Osteodystrophy is a complex and challenging condition, but with the right approach, individuals can manage their symptoms and improve their quality of life.

📝 Note: It is important to consult with healthcare professionals for personalized advice and treatment plans.

Albright Hereditary Osteodystrophy is a rare genetic disorder that affects bone development and other tissues. It is characterized by short stature, obesity, and a round face, among other symptoms. Understanding AHO involves delving into its genetic basis, clinical manifestations, diagnostic methods, and management strategies. The condition is caused by mutations in the GNAS gene, which plays a crucial role in various cellular processes. There are two main types of AHO: Pseudohypoparathyroidism Type 1a (PHP1a) and Pseudopseudohypoparathyroidism (PPHP). Clinical features can vary widely but often include short stature, obesity, a round face, brachydactyly, subcutaneous ossifications, and intellectual disability. Diagnosis involves clinical evaluation, genetic testing, and laboratory tests. Management strategies include hormone replacement therapy, diet and lifestyle modifications, orthopedic interventions, and physical therapy. Living with AHO requires education, support, and a healthy lifestyle. With proper management, individuals can lead fulfilling lives despite the challenges posed by this condition.

Related Terms:

  • albright hereditary osteodystrophy hands
  • albright hereditary osteodystrophy icd 10
  • albright hereditary osteodystrophy genetics
  • albright hereditary osteodystrophy syndrome
  • albright's hereditary osteodystrophy images
  • albright hereditary osteodystrophy symptoms