Adrenal Adenoma Icd 10

Adrenal Adenoma Icd 10

Adrenal adenomas are benign tumors that develop in the adrenal glands, which are small organs located above the kidneys. These tumors are typically non-cancerous and often do not cause symptoms, making them a subject of interest in medical diagnostics and treatment. One of the key identifiers for adrenal adenomas in medical records is the Adrenal Adenoma ICD 10 code, which is essential for accurate billing and insurance purposes. Understanding the nuances of adrenal adenomas, their diagnosis, and treatment is crucial for healthcare providers and patients alike.

Understanding Adrenal Adenomas

Adrenal adenomas are relatively common, with an estimated prevalence of about 3-10% in the general population. These tumors can be functional, meaning they produce excess hormones, or non-functional, meaning they do not produce hormones. Functional adrenal adenomas can lead to various hormonal imbalances, such as:

  • Cushing's syndrome, caused by excess cortisol production.
  • Conn's syndrome, caused by excess aldosterone production.
  • Pheochromocytoma, caused by excess catecholamine production.

Non-functional adrenal adenomas, on the other hand, are often discovered incidentally during imaging tests for other conditions. These incidentalomas are typically small and do not require immediate treatment unless they grow or cause symptoms.

Diagnosing Adrenal Adenomas

Diagnosing adrenal adenomas involves a combination of imaging tests and laboratory evaluations. The diagnostic process typically includes:

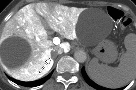
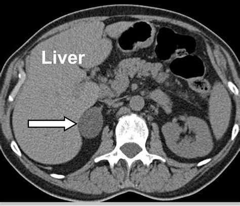
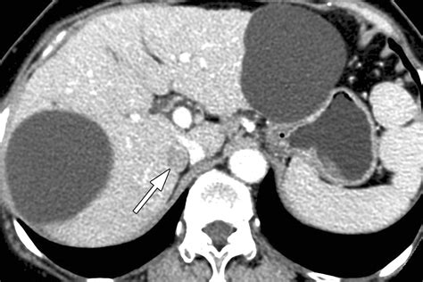
  • Imaging Tests: Computed tomography (CT) scans and magnetic resonance imaging (MRI) are commonly used to visualize the adrenal glands and detect tumors. These tests can provide detailed images of the adrenal glands and help determine the size and characteristics of the tumor.
  • Laboratory Tests: Blood and urine tests are used to measure hormone levels. For functional adrenal adenomas, these tests can help identify the specific hormone being overproduced.
  • Biopsy: In some cases, a biopsy may be performed to confirm the diagnosis and rule out malignant tumors. However, biopsies are not always necessary and are typically reserved for cases where the diagnosis is uncertain.

Once an adrenal adenoma is diagnosed, it is crucial to assign the correct Adrenal Adenoma ICD 10 code for accurate medical billing and insurance purposes. The ICD-10 code for adrenal adenoma is D35.0, which falls under the category of benign neoplasms of the adrenal gland.

Treatment Options for Adrenal Adenomas

The treatment for adrenal adenomas depends on various factors, including the size of the tumor, whether it is functional or non-functional, and the presence of symptoms. Treatment options may include:

  • Observation: For small, non-functional adrenal adenomas, a "watch and wait" approach may be recommended. Regular follow-up imaging tests are performed to monitor the tumor's size and growth.
  • Medication: For functional adrenal adenomas, medication may be prescribed to manage hormone imbalances. For example, drugs that inhibit cortisol production may be used for Cushing's syndrome.
  • Surgery: Surgical removal of the adrenal gland (adrenalectomy) may be recommended for larger tumors, functional adenomas, or tumors that are growing rapidly. Minimally invasive laparoscopic surgery is often preferred due to its shorter recovery time and reduced risk of complications.

In some cases, a combination of these treatment options may be used to manage adrenal adenomas effectively.

Importance of the Adrenal Adenoma ICD 10 Code

The Adrenal Adenoma ICD 10 code is essential for accurate medical billing and insurance purposes. The ICD-10 code for adrenal adenoma is D35.0, which falls under the category of benign neoplasms of the adrenal gland. This code helps healthcare providers and insurance companies accurately document and bill for the diagnosis and treatment of adrenal adenomas.

Accurate coding is crucial for several reasons:

  • It ensures that patients receive the appropriate coverage for their medical treatments.
  • It helps healthcare providers track the prevalence and outcomes of adrenal adenomas.
  • It facilitates research and data analysis in the field of endocrinology and oncology.

Healthcare providers must be familiar with the Adrenal Adenoma ICD 10 code and ensure that it is correctly applied in medical records and billing systems.

Adrenal Adenoma ICD 10 Code and Medical Billing

Medical billing is a complex process that involves accurate coding and documentation. The Adrenal Adenoma ICD 10 code plays a critical role in this process. Here are some key points to consider:

  • Accurate Coding: Ensuring that the correct ICD-10 code is used for adrenal adenomas is essential for accurate billing. The code D35.0 should be used for benign neoplasms of the adrenal gland.
  • Documentation: Proper documentation in medical records is crucial for supporting the diagnosis and treatment of adrenal adenomas. This includes detailed notes on imaging tests, laboratory results, and treatment plans.
  • Billing Systems: Healthcare providers must ensure that their billing systems are updated with the correct ICD-10 codes. This includes regular training for billing staff and periodic audits to ensure compliance.

By following these guidelines, healthcare providers can ensure accurate billing and reimbursement for the diagnosis and treatment of adrenal adenomas.

Adrenal Adenoma ICD 10 Code and Insurance Coverage

Insurance coverage for the diagnosis and treatment of adrenal adenomas is dependent on accurate coding and documentation. The Adrenal Adenoma ICD 10 code is essential for ensuring that patients receive the appropriate coverage for their medical treatments. Here are some key points to consider:

  • Pre-authorization: Some insurance plans may require pre-authorization for certain treatments, such as surgery or specialized medications. Accurate coding and documentation can help streamline this process.
  • Coverage Limits: Insurance plans may have coverage limits for certain treatments or procedures. Accurate coding can help ensure that patients receive the maximum coverage available.
  • Appeals Process: In cases where insurance coverage is denied, accurate coding and documentation can be crucial for the appeals process. Healthcare providers should be prepared to provide detailed information to support the diagnosis and treatment of adrenal adenomas.

By ensuring accurate coding and documentation, healthcare providers can help patients navigate the complexities of insurance coverage and receive the care they need.

Adrenal Adenoma ICD 10 Code and Research

The Adrenal Adenoma ICD 10 code is also important for research and data analysis in the field of endocrinology and oncology. Accurate coding allows researchers to track the prevalence and outcomes of adrenal adenomas, identify trends, and develop new treatments. Here are some key points to consider:

  • Data Collection: Accurate coding is essential for collecting reliable data on adrenal adenomas. This includes data on diagnosis, treatment, and outcomes.
  • Research Studies: Researchers can use the ICD-10 code to identify patients with adrenal adenomas for inclusion in research studies. This can help advance our understanding of the condition and develop new treatments.
  • Public Health: Accurate coding can also help public health officials track the prevalence of adrenal adenomas and develop strategies to improve diagnosis and treatment.

By ensuring accurate coding, healthcare providers can contribute to important research and public health efforts.

Adrenal Adenoma ICD 10 Code and Patient Education

Patient education is an essential aspect of managing adrenal adenomas. Understanding the condition, its diagnosis, and treatment options can help patients make informed decisions about their care. The Adrenal Adenoma ICD 10 code can be a valuable tool for patient education. Here are some key points to consider:

  • Diagnosis Explanation: Healthcare providers can use the ICD-10 code to explain the diagnosis to patients in a clear and understandable way. This can help patients understand the nature of their condition and the importance of follow-up care.
  • Treatment Options: Providers can also use the ICD-10 code to discuss treatment options with patients. This can help patients understand the benefits and risks of different treatments and make informed decisions about their care.
  • Follow-up Care: Accurate coding can also help ensure that patients receive appropriate follow-up care. This includes regular monitoring and imaging tests to track the progress of the tumor.

By providing clear and accurate information, healthcare providers can help patients better understand and manage their adrenal adenomas.

📝 Note: It is important for healthcare providers to stay updated with the latest ICD-10 codes and guidelines to ensure accurate coding and documentation.

Adrenal adenomas are a common condition that can have significant implications for patient health and well-being. Understanding the diagnosis, treatment, and importance of the Adrenal Adenoma ICD 10 code is crucial for healthcare providers and patients alike. By ensuring accurate coding and documentation, healthcare providers can help patients receive the appropriate care and coverage they need. Additionally, accurate coding contributes to important research and public health efforts, advancing our understanding of adrenal adenomas and improving outcomes for patients.

Related Terms:

  • left adrenal adenoma is 10
  • right adrenal adenoma is 10
  • benign left adrenal adenoma icd10
  • benign adrenal adenoma icd10
  • stable left adrenal adenoma icd10
  • left adrenal adenoma icd10 code