Acute Chest Syndrome Treatment

Acute Chest Syndrome Treatment

Acute Chest Syndrome (ACS) is a severe complication of sickle cell disease, characterized by a new infiltrate on a chest X-ray accompanied by symptoms such as chest pain, fever, and respiratory distress. Effective management of Acute Chest Syndrome Treatment is crucial for improving patient outcomes and reducing the risk of complications. This blog post will delve into the causes, symptoms, diagnosis, and comprehensive treatment strategies for Acute Chest Syndrome.

Understanding Acute Chest Syndrome

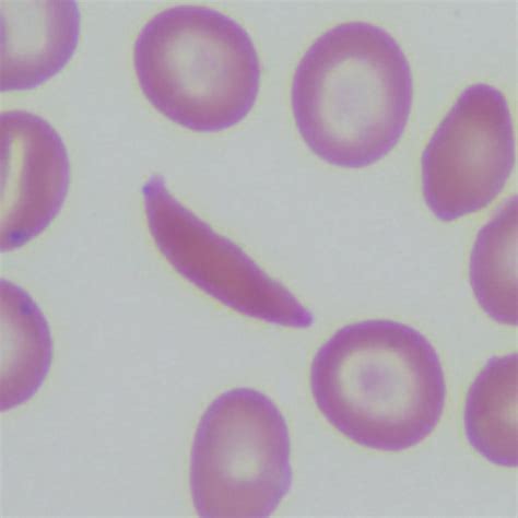
Acute Chest Syndrome is a medical emergency that requires immediate attention. It is often triggered by infections, such as pneumonia, or by vaso-occlusive crises, which are common in sickle cell disease. The syndrome can also be caused by pulmonary embolism, rib infarction, or fat embolism. Understanding the underlying causes is essential for effective Acute Chest Syndrome Treatment.

Symptoms of Acute Chest Syndrome

The symptoms of Acute Chest Syndrome can vary but typically include:

  • Chest pain
  • Fever
  • Cough
  • Shortness of breath
  • Tachypnea (rapid breathing)
  • Tachycardia (rapid heart rate)

These symptoms can be severe and may worsen rapidly, necessitating prompt medical intervention.

Diagnosis of Acute Chest Syndrome

Diagnosing Acute Chest Syndrome involves a combination of clinical evaluation and diagnostic tests. The key steps include:

  • Physical examination to assess symptoms and vital signs.
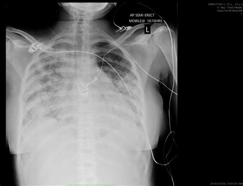
  • Chest X-ray to identify new infiltrates.
  • Blood tests to check for infection, anemia, and other abnormalities.
  • Arterial blood gas analysis to evaluate oxygenation and acid-base status.
  • Sputum culture to identify any infectious agents.

Early and accurate diagnosis is crucial for initiating appropriate Acute Chest Syndrome Treatment.

Acute Chest Syndrome Treatment

The treatment of Acute Chest Syndrome is multifaceted and aims to address the underlying cause, manage symptoms, and prevent complications. Key components of Acute Chest Syndrome Treatment include:

Oxygen Therapy

Oxygen therapy is a cornerstone of Acute Chest Syndrome Treatment. It helps to maintain adequate oxygen saturation and reduce the workload on the heart and lungs. Patients may require supplemental oxygen via nasal cannula, face mask, or mechanical ventilation in severe cases.

Hydration

Intravenous fluids are often administered to ensure adequate hydration and improve blood flow. This helps to prevent further sickling of red blood cells and reduces the risk of vaso-occlusive crises.

Pain Management

Pain management is essential for patient comfort and to reduce the stress response, which can exacerbate the condition. Analgesics, such as opioids, may be used to manage chest pain effectively.

Antibiotics

Antibiotics are prescribed to treat any underlying infections, which are common triggers of Acute Chest Syndrome. The choice of antibiotic depends on the suspected or identified infectious agent.

Bronchodilators

Bronchodilators, such as albuterol, may be used to relieve bronchospasm and improve airflow. These medications help to open the airways and facilitate breathing.

Blood Transfusions

In severe cases, blood transfusions may be necessary to improve oxygen-carrying capacity and reduce the proportion of sickled red blood cells. Exchange transfusions are often preferred to avoid volume overload.

Incentive Spirometry

Incentive spirometry is a breathing exercise that helps to prevent atelectasis (collapse of lung tissue) and improve lung function. Patients are encouraged to use this device regularly to maintain lung expansion.

Supportive Care

Supportive care measures, such as monitoring vital signs, managing fever, and providing emotional support, are essential components of Acute Chest Syndrome Treatment. Patients may require hospitalization for close monitoring and intensive care.

📝 Note: The specific treatment plan may vary based on the patient's condition, underlying causes, and response to initial therapies. Close collaboration with a healthcare team is crucial for optimal management.

Prevention of Acute Chest Syndrome

Preventing Acute Chest Syndrome involves a combination of regular medical care, lifestyle modifications, and prompt management of sickle cell disease. Key preventive measures include:

  • Regular follow-ups with a healthcare provider to monitor sickle cell disease and manage complications.
  • Vaccinations to prevent infections, such as pneumococcal and influenza vaccines.
  • Avoiding triggers, such as extreme temperatures, high altitudes, and dehydration.
  • Prompt treatment of infections and other illnesses.
  • Maintaining a healthy lifestyle with adequate hydration, balanced diet, and regular exercise.

Education and awareness about the signs and symptoms of Acute Chest Syndrome can help patients and caregivers seek timely medical attention.

Complications of Acute Chest Syndrome

Despite prompt and appropriate Acute Chest Syndrome Treatment, complications can occur. Common complications include:

  • Respiratory failure
  • Acute respiratory distress syndrome (ARDS)
  • Pulmonary hypertension
  • Multiorgan failure
  • Death

Early recognition and aggressive management of Acute Chest Syndrome can help to minimize the risk of these complications.

Long-Term Management of Sickle Cell Disease

Long-term management of sickle cell disease is essential for preventing recurrent episodes of Acute Chest Syndrome and improving overall quality of life. Key strategies include:

  • Regular monitoring of hemoglobin levels and other blood parameters.
  • Hydroxyurea therapy to reduce the frequency of vaso-occlusive crises and Acute Chest Syndrome.
  • Bone marrow transplant in eligible patients to cure sickle cell disease.
  • Genetic counseling and family planning for individuals with sickle cell disease.

A multidisciplinary approach involving hematologists, pulmonologists, and other specialists is crucial for comprehensive care.

Acute Chest Syndrome is a serious complication of sickle cell disease that requires immediate and aggressive management. Effective Acute Chest Syndrome Treatment involves a combination of oxygen therapy, hydration, pain management, antibiotics, bronchodilators, blood transfusions, and supportive care. Prevention strategies, including regular medical care, vaccinations, and lifestyle modifications, can help to reduce the risk of Acute Chest Syndrome. Long-term management of sickle cell disease is essential for improving patient outcomes and quality of life. Early recognition, prompt treatment, and close collaboration with a healthcare team are key to successful management of Acute Chest Syndrome.

Related Terms:

  • sickle cell chest syndrome treatment
  • acute chest syndrome treatment antibiotics
  • sickle cell chest crisis treatment
  • sickle cell acute chest treatment