Accessory Lobe Placenta

Accessory Lobe Placenta

Understanding the intricacies of placental development is crucial for comprehending various aspects of pregnancy and fetal health. One of the lesser-known but significant structures in placental anatomy is the Accessory Lobe Placenta. This structure plays a vital role in supporting the growth and development of the fetus, and its proper functioning is essential for a healthy pregnancy.

What is an Accessory Lobe Placenta?

The Accessory Lobe Placenta is an additional lobe of placental tissue that develops alongside the main placenta. It is connected to the main placenta by a thin membrane or a vascular bridge. This structure is not always present in every pregnancy, but when it is, it can significantly impact placental function and fetal health.

Anatomy and Structure

The Accessory Lobe Placenta shares many similarities with the main placenta in terms of structure and function. It is composed of chorionic villi, which are finger-like projections that invade the maternal endometrium. These villi facilitate the exchange of nutrients, gases, and waste products between the maternal and fetal circulations.

The accessory lobe is typically smaller than the main placenta and is often located near the edge of the main placental mass. It is connected to the main placenta by a vascular bridge, which ensures that blood flow and nutrient exchange are maintained between the two structures.

Function and Importance

The primary function of the Accessory Lobe Placenta is to support the main placenta in its role of providing nutrients and oxygen to the developing fetus. By increasing the surface area available for nutrient exchange, the accessory lobe helps to ensure that the fetus receives adequate nourishment, even in cases where the main placenta may be compromised.

In some cases, the accessory lobe may take over the functions of the main placenta if it becomes damaged or fails to function properly. This redundancy is crucial for the survival and health of the fetus, as it provides a backup system to ensure continuous nutrient and oxygen supply.

Diagnosis and Detection

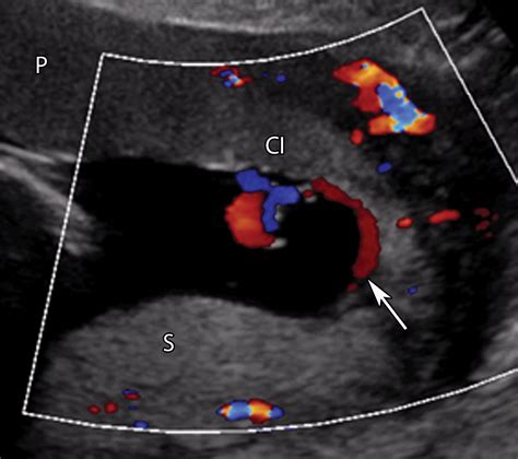
Detecting an Accessory Lobe Placenta typically involves ultrasound imaging. During routine prenatal ultrasounds, healthcare providers can identify the presence of an accessory lobe by observing the placental structure and its connections. Ultrasound imaging allows for the visualization of the vascular bridge that connects the accessory lobe to the main placenta, confirming its presence.

In some cases, additional imaging techniques such as magnetic resonance imaging (MRI) may be used to provide a more detailed view of the placental structure. This can be particularly useful in cases where the ultrasound images are not clear or where further evaluation is needed.

Clinical Implications

The presence of an Accessory Lobe Placenta can have several clinical implications. While it generally supports placental function, it can also pose certain risks. One of the primary concerns is the potential for placental abruption, where the accessory lobe separates from the main placenta. This can lead to severe complications, including fetal distress and maternal hemorrhage.

Additionally, the accessory lobe can sometimes be mistaken for a placental tumor or other abnormalities during ultrasound examinations. This can lead to unnecessary interventions or anxiety for the expectant mother. Accurate diagnosis and differentiation from other placental abnormalities are essential to ensure appropriate management and care.

Management and Care

Managing a pregnancy with an Accessory Lobe Placenta involves close monitoring and regular prenatal check-ups. Healthcare providers will typically recommend more frequent ultrasounds to monitor the health and integrity of both the main placenta and the accessory lobe. This allows for early detection of any potential complications and timely intervention if necessary.

In some cases, additional monitoring techniques such as Doppler ultrasound may be used to assess blood flow through the vascular bridge connecting the accessory lobe to the main placenta. This helps to ensure that the fetus is receiving adequate nutrients and oxygen.

Expectant mothers with an Accessory Lobe Placenta should be educated about the potential risks and symptoms to watch for, such as vaginal bleeding, abdominal pain, or decreased fetal movement. Prompt reporting of any concerning symptoms to their healthcare provider is crucial for ensuring the best possible outcomes.

Risks and Complications

While the Accessory Lobe Placenta can provide additional support to the main placenta, it is not without risks. Some of the potential complications associated with an accessory lobe include:

  • Placental abruption: Separation of the accessory lobe from the main placenta, which can lead to fetal distress and maternal hemorrhage.
  • Vasa previa: A condition where fetal blood vessels cross the cervix, increasing the risk of hemorrhage during labor.
  • Placental insufficiency: Inadequate nutrient and oxygen supply to the fetus, which can lead to growth restriction and other complications.
  • Miscarriage: In rare cases, the presence of an accessory lobe may be associated with an increased risk of miscarriage.

Regular prenatal care and close monitoring can help to mitigate these risks and ensure the best possible outcomes for both the mother and the fetus.

Research and Future Directions

Research on the Accessory Lobe Placenta is ongoing, with scientists and healthcare providers seeking to better understand its role in placental function and fetal health. Future studies may focus on:

  • Improving diagnostic techniques to accurately identify and differentiate accessory lobes from other placental abnormalities.
  • Developing new monitoring methods to assess the health and function of the accessory lobe and its impact on fetal development.
  • Exploring the potential benefits and risks of an accessory lobe in various clinical scenarios, such as pregnancies complicated by placental insufficiency or other maternal health conditions.

By advancing our knowledge of the Accessory Lobe Placenta, researchers hope to improve prenatal care and outcomes for expectant mothers and their babies.

📝 Note: The information provided in this blog post is for educational purposes only and should not be used as a substitute for professional medical advice. Always consult with a healthcare provider for any concerns related to pregnancy and placental health.

In summary, the Accessory Lobe Placenta is a fascinating and important structure in placental anatomy. Its role in supporting fetal development and ensuring adequate nutrient and oxygen supply is crucial for a healthy pregnancy. While it can provide additional support to the main placenta, it is also associated with certain risks and complications that require close monitoring and management. Ongoing research and advancements in diagnostic techniques will continue to enhance our understanding of this structure and improve prenatal care for expectant mothers.

Related Terms:

  • accessory lobe vs bilobed placenta
  • bilobed placenta
  • extra lobes on the placenta
  • succenturiate placenta ultrasound
  • posterior accessory lobe
  • bilobed placenta versus accessory lobe