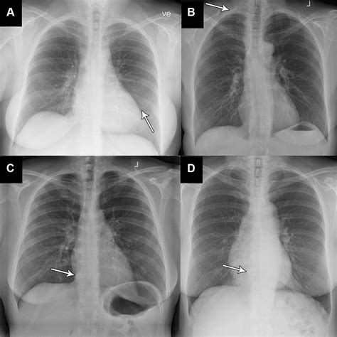
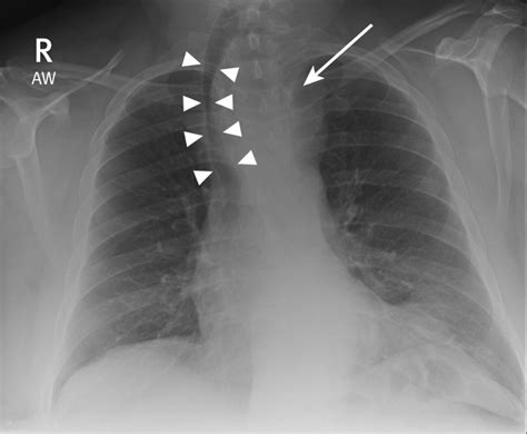
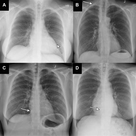
Abnormal Chest X Ray

Abnormal Chest X Ray

Chest X-rays are a common diagnostic tool used to evaluate the lungs, heart, and other structures within the chest. They provide valuable insights into various medical conditions, including pneumonia, lung cancer, and heart failure. However, interpreting an abnormal chest X-ray can be challenging and requires a thorough understanding of radiology principles. This post will delve into the intricacies of abnormal chest X-rays, their causes, and the steps involved in their interpretation.

Understanding Chest X-Rays

Chest X-rays use a small amount of radiation to create images of the structures inside the chest. These images help healthcare providers diagnose and monitor a wide range of conditions. The standard views include the posteroanterior (PA) view, taken from the back to the front, and the lateral view, taken from the side. These views provide different perspectives, aiding in a more comprehensive evaluation.

Common Causes of Abnormal Chest X-Rays

An abnormal chest X-ray can indicate various underlying issues. Some of the most common causes include:

  • Pneumonia: Inflammation of the lungs, often caused by bacterial, viral, or fungal infections.
  • Lung Cancer: Abnormal growths or tumors in the lungs.
  • Heart Failure: Fluid buildup in the lungs due to the heart’s inability to pump blood efficiently.
  • Pneumothorax: Collapsed lung, often due to air leaking into the space between the lung and chest wall.
  • Pleural Effusion: Accumulation of fluid in the pleural space, the area between the lungs and the chest wall.
  • Tuberculosis: A bacterial infection that primarily affects the lungs.

Interpreting Abnormal Chest X-Rays

Interpreting an abnormal chest X-ray involves a systematic approach to identify and analyze the findings. Here are the key steps:

Step 1: Review Patient History

Before examining the X-ray, review the patient’s medical history, symptoms, and any relevant laboratory results. This context helps in understanding the clinical significance of the findings.

Step 2: Assess Technical Quality

Ensure the X-ray is of good technical quality. Check for proper exposure, positioning, and absence of artifacts. Poor-quality images can lead to misinterpretation.

Step 3: Systematic Evaluation

Follow a systematic approach to evaluate the X-ray:

  • Airways: Look for any abnormalities in the trachea and bronchi, such as narrowing or displacement.
  • Lungs: Examine the lung fields for opacities, nodules, or areas of increased or decreased density.
  • Heart: Assess the size and shape of the heart. Look for any enlargement or abnormal contours.
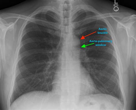
  • Mediastinum: Check for any widening or masses in the mediastinum, the central compartment of the chest.
  • Pleura: Look for pleural effusions, thickening, or calcification.
  • Bones: Examine the ribs, spine, and clavicles for any fractures, lesions, or other abnormalities.
  • Soft Tissues: Assess the soft tissues of the chest wall for any masses or swelling.

Step 4: Identify Abnormalities

Identify any abnormalities and describe them in detail. Use standard radiology terminology to ensure clear communication with other healthcare providers.

Step 5: Formulate a Differential Diagnosis

Based on the findings, formulate a list of possible diagnoses. Consider the patient’s clinical context and the likelihood of each diagnosis.

Step 6: Recommend Further Investigations

If necessary, recommend further investigations such as CT scans, MRI, or laboratory tests to confirm the diagnosis and guide management.

📝 Note: Always correlate the X-ray findings with the patient's clinical presentation and other diagnostic tests to ensure an accurate diagnosis.

Specific Findings in Abnormal Chest X-Rays

Certain findings on a chest X-ray are particularly important to recognize. Here are some key examples:

Consolidation

Consolidation refers to the replacement of air in the lungs with fluid, cells, or other material. It appears as an area of increased opacity on the X-ray. Common causes include pneumonia and pulmonary edema.

Nodules and Masses

Nodules are small, round opacities, while masses are larger and more irregular. They can be benign or malignant. Common causes include lung cancer, metastases, and infections.

Pleural Effusion

Pleural effusion is the accumulation of fluid in the pleural space. It appears as a layer of fluid along the chest wall or as a meniscus sign on the lateral view. Common causes include heart failure, pneumonia, and malignancy.

Pneumothorax

Pneumothorax is the presence of air in the pleural space, causing the lung to collapse. It appears as a lucent area without lung markings. Common causes include trauma, spontaneous pneumothorax, and iatrogenic injury.

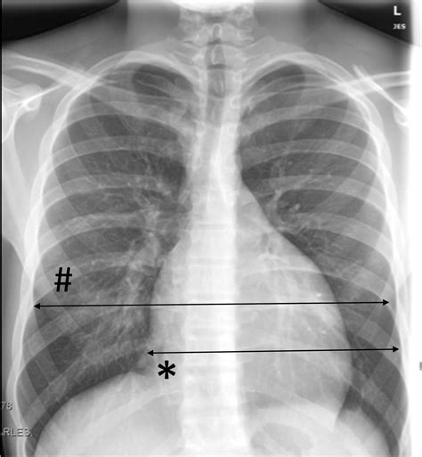
Cardiomegaly

Cardiomegaly refers to an enlarged heart. It appears as an increased cardiac silhouette on the X-ray. Common causes include heart failure, cardiomyopathy, and valvular disease.

Challenges in Interpreting Abnormal Chest X-Rays

Interpreting an abnormal chest X-ray can be challenging due to several factors:

  • Overlapping Structures: The chest contains many overlapping structures, making it difficult to isolate specific abnormalities.
  • Technical Limitations: Chest X-rays have limited resolution and contrast compared to other imaging modalities like CT scans.
  • Variability in Appearance: Different conditions can have similar appearances on X-rays, leading to diagnostic uncertainty.
  • Interobserver Variability: Different radiologists may interpret the same X-ray differently, leading to variability in diagnosis.

Advanced Imaging Techniques

In cases where the chest X-ray findings are equivocal or inconclusive, advanced imaging techniques may be necessary. These include:

Computed Tomography (CT) Scan

CT scans provide detailed cross-sectional images of the chest, offering better resolution and contrast than X-rays. They are particularly useful for evaluating lung nodules, masses, and interstitial lung diseases.

Magnetic Resonance Imaging (MRI)

MRI uses magnetic fields and radio waves to produce detailed images of the chest. It is particularly useful for evaluating soft tissue structures, such as the heart and mediastinum.

Positron Emission Tomography (PET) Scan

PET scans use a radioactive tracer to visualize metabolic activity in the body. They are often combined with CT scans (PET-CT) to provide both anatomical and functional information, making them useful for evaluating lung cancer and other malignancies.

Case Studies

To illustrate the interpretation of abnormal chest X-rays, let’s consider a few case studies:

Case Study 1: Pneumonia

A 65-year-old patient presents with fever, cough, and shortness of breath. The chest X-ray shows consolidation in the right lower lobe. The patient’s history of recent travel and exposure to sick contacts suggests a bacterial infection. Further investigations, including blood cultures and sputum analysis, confirm the diagnosis of pneumonia.

Case Study 2: Lung Cancer

A 50-year-old smoker presents with persistent cough and weight loss. The chest X-ray reveals a 3 cm mass in the right upper lobe. A CT scan confirms the presence of the mass, and a biopsy reveals non-small cell lung cancer. The patient is referred to an oncologist for further management.

Case Study 3: Heart Failure

A 70-year-old patient with a history of hypertension presents with shortness of breath and peripheral edema. The chest X-ray shows cardiomegaly and pulmonary edema. An echocardiogram confirms the diagnosis of heart failure, and the patient is started on diuretics and other medications to manage the condition.

Conclusion

Interpreting an abnormal chest X-ray requires a systematic approach and a thorough understanding of radiology principles. By following the steps outlined in this post, healthcare providers can accurately identify and analyze abnormalities, formulate a differential diagnosis, and recommend appropriate management. Advanced imaging techniques, such as CT scans and MRI, can provide additional information when needed. Understanding the common causes and specific findings of abnormal chest X-rays is crucial for effective diagnosis and treatment.

Related Terms:

  • abnormal chest x ray icd
  • abnormal chest x ray interpretation
  • normal chest x ray
  • abnormal chest x ray meaning
  • abnormal chest x ray images
  • chest x ray results explained