9 Week Sono

9 Week Sono

Pregnancy is an exciting journey filled with milestones, and one of the most anticipated events is the 9 week sono, or 9-week ultrasound. This non-invasive procedure provides expectant parents with their first glimpse of the developing fetus, offering a wealth of information about the baby's health and development. Understanding what to expect during a 9 week sono can help alleviate anxiety and enhance the overall experience.

What is a 9 Week Sono?

A 9 week sono, or 9-week ultrasound, is a medical imaging technique used to visualize the fetus in the womb. This procedure uses high-frequency sound waves to create images of the baby, which are then displayed on a monitor. The 9 week sono is typically performed transabdominally, meaning the ultrasound probe is moved over the abdomen, or transvaginally, where the probe is inserted into the vagina for a clearer view.

Why is a 9 Week Sono Important?

The 9 week sono serves several crucial purposes:

  • Confirming the Pregnancy: While a positive pregnancy test is a good indicator, an ultrasound can confirm the presence of a gestational sac and a yolk sac, which are early signs of pregnancy.
  • Estimating the Due Date: Measuring the fetus's size can help determine a more accurate due date, which is essential for monitoring the pregnancy's progress.
  • Assessing Fetal Development: At 9 weeks, the fetus undergoes rapid development. The 9 week sono can check for the presence of a heartbeat, the development of the neural tube, and the formation of other critical structures.
  • Detecting Potential Issues: Early detection of any abnormalities or complications can allow for timely intervention and management.

What to Expect During a 9 Week Sono

Preparing for a 9 week sono involves a few simple steps to ensure a smooth and comfortable experience. Here’s what you can expect:

Preparation

Before the ultrasound, you may be asked to:

  • Drink Water: Having a full bladder can help push the uterus into a better position for viewing. You may be asked to drink several glasses of water before the procedure and avoid using the restroom until after the ultrasound.
  • Wear Comfortable Clothing: Loose-fitting clothes can make the process more comfortable, especially if you need to change into a gown.
  • Avoid Eating: Some clinics may advise against eating a heavy meal before the ultrasound to prevent discomfort.

The Procedure

The 9 week sono typically takes about 20-30 minutes. Here’s a step-by-step breakdown:

  • Arrival and Check-In: Upon arrival, you will check in with the receptionist and provide any necessary paperwork.
  • Preparation for the Ultrasound: You will be escorted to a private room where you will change into a gown if necessary. The technician will explain the procedure and answer any questions you may have.
  • The Ultrasound: You will lie down on an examination table. For a transabdominal ultrasound, gel will be applied to your abdomen, and the technician will move the probe over the area to capture images. For a transvaginal ultrasound, a probe covered with a condom and lubricant will be inserted into the vagina.
  • Viewing the Images: The images will be displayed on a monitor, and the technician may point out key features of the fetus, such as the heartbeat and developing organs.
  • Post-Procedure: After the ultrasound, you will be given a printout of the images and a summary of the findings. The technician will also provide instructions on any follow-up steps.

📝 Note: It’s important to follow the instructions given by your healthcare provider regarding preparation for the ultrasound. If you have any concerns or questions, don’t hesitate to ask the technician or your doctor.

What You Can See During a 9 Week Sono

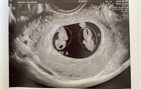
At 9 weeks, the fetus is still very small, but several key features can be observed during the 9 week sono:

  • Heartbeat: One of the most exciting moments is hearing and seeing the fetus's heartbeat. At this stage, the heartbeat is usually visible and can be detected with a Doppler device.
  • Gestational Sac: The gestational sac, which contains the fetus and amniotic fluid, is clearly visible.
  • Yolk Sac: The yolk sac, which provides early nutrition to the embryo, is also visible.
  • Embryo: The embryo itself is about the size of a grape and has a distinct shape. The head is large in proportion to the body, and the tail is still present.
  • Neural Tube: The neural tube, which will develop into the brain, spinal cord, and nervous system, is forming.
  • Limbs and Organs: The beginnings of the arms, legs, and internal organs are visible, although they are still in the early stages of development.

Interpreting the Results of a 9 Week Sono

The results of a 9 week sono provide valuable information about the fetus's health and development. Here’s what the findings might indicate:

  • Normal Development: If the ultrasound shows a gestational sac, yolk sac, and a heartbeat, it is a strong indication that the pregnancy is progressing normally.
  • Potential Issues: In some cases, the ultrasound may reveal abnormalities or complications. These could include:
    • Ectopic Pregnancy: If the gestational sac is not in the uterus, it may indicate an ectopic pregnancy, which requires immediate medical attention.
    • Miscarriage: The absence of a heartbeat or other signs of fetal development may indicate a miscarriage.
    • Gestational Sac Size: If the gestational sac is smaller or larger than expected, it may indicate a problem with the pregnancy.

If any concerns are identified during the 9 week sono, your healthcare provider will discuss the next steps, which may include additional testing or monitoring.

Common Questions About the 9 Week Sono

Expectant parents often have many questions about the 9 week sono. Here are some of the most common queries:

Is the 9 Week Sono Safe?

Yes, the 9 week sono is considered safe for both the mother and the developing fetus. Ultrasound technology uses sound waves, not radiation, to create images, making it a non-invasive and low-risk procedure.

Can I Find Out the Baby's Gender?

At 9 weeks, it is too early to determine the baby's gender. The external genitalia have not yet developed enough to be visible on an ultrasound. Gender determination is typically possible around 18-20 weeks.

What If I Have a Transvaginal Ultrasound?

A transvaginal ultrasound may be recommended if a clearer view of the uterus is needed. This procedure is safe and provides more detailed images, especially in the early stages of pregnancy. The probe is covered with a condom and lubricant, and the procedure is usually quick and painless.

Can I Bring Someone With Me?

Yes, most clinics allow you to bring a support person with you to the ultrasound. This can be a partner, family member, or friend. However, it’s a good idea to check with your clinic beforehand to confirm their policy.

Emotional Aspects of the 9 Week Sono

The 9 week sono is not just a medical procedure; it is also an emotional experience. Seeing the fetus for the first time can evoke a range of feelings, from joy and excitement to anxiety and concern. Here are some tips to help you navigate the emotional aspects of the 9 week sono:

  • Prepare Mentally: Take some time to prepare yourself emotionally for the ultrasound. Talk to your partner or a trusted friend about your feelings and expectations.
  • Ask Questions: Don’t hesitate to ask the technician or your healthcare provider any questions you may have during the procedure. Understanding what you are seeing can help alleviate anxiety.
  • Bring Support: Having a loved one with you can provide comfort and support during the ultrasound.
  • Take Care of Yourself: After the ultrasound, take some time to process your emotions. Whether you are feeling excited or concerned, it’s important to take care of your emotional well-being.

Remember, the 9 week sono is just one step in your pregnancy journey. Each milestone brings new information and experiences, and it’s okay to feel a range of emotions along the way.

💡 Note: If you have any concerns or questions after the ultrasound, don't hesitate to reach out to your healthcare provider. They are there to support you throughout your pregnancy.

Conclusion

The 9 week sono is a crucial milestone in the pregnancy journey, offering expectant parents their first glimpse of the developing fetus. This non-invasive procedure provides valuable information about the baby’s health and development, helping to ensure a healthy pregnancy. Understanding what to expect during a 9 week sono can help alleviate anxiety and enhance the overall experience. From confirming the pregnancy to assessing fetal development, the 9 week sono plays a vital role in monitoring the progress of the pregnancy. By preparing for the procedure, understanding the results, and addressing any emotional aspects, expectant parents can navigate this exciting milestone with confidence and joy.

Related Terms:

  • 9 week ultrasound images
  • 9 week ultrasound twins
  • 9 week ultrasound results
  • 9 week transvaginal ultrasound
  • 9 week pregnancy
  • 10 week ultrasound