6 Week Ultrasound

6 Week Ultrasound

Embarking on the journey of parenthood is an exciting and transformative experience. One of the most anticipated milestones during pregnancy is the 6 week ultrasound. This early prenatal check-up provides valuable insights into the developing fetus and offers reassurance to expectant parents. Understanding the significance of the 6 week ultrasound and what to expect can help alleviate anxiety and prepare you for the journey ahead.

What is a 6 Week Ultrasound?

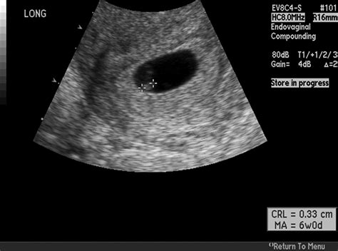
A 6 week ultrasound is a prenatal diagnostic test performed using high-frequency sound waves to create images of the developing fetus. This non-invasive procedure is typically conducted transvaginally at this early stage to provide a clearer view of the uterus and the embryo. The primary goal of the 6 week ultrasound is to confirm the presence of a gestational sac, detect a fetal heartbeat, and assess the overall health of the pregnancy.

Why is a 6 Week Ultrasound Important?

The 6 week ultrasound plays a crucial role in early pregnancy monitoring. Here are some key reasons why it is important:

  • Confirmation of Pregnancy: The ultrasound can confirm the presence of a gestational sac, which is the earliest sign of pregnancy visible on ultrasound.
  • Detection of Fetal Heartbeat: By week 6, a fetal heartbeat may be detectable, providing reassurance that the pregnancy is progressing normally.
  • Assessment of Gestational Age: The ultrasound helps determine the gestational age of the fetus, which is essential for monitoring growth and development throughout the pregnancy.
  • Detection of Ectopic Pregnancy: An ultrasound can help rule out an ectopic pregnancy, where the fertilized egg implants outside the uterus, which is a medical emergency.
  • Identification of Multiple Gestations: The ultrasound can detect the presence of twins or multiples, allowing for early preparation and specialized care.

What to Expect During a 6 Week Ultrasound

Preparing for a 6 week ultrasound involves understanding the procedure and what to expect. Here are the steps involved:

  • Preparation: You may be asked to empty your bladder before the procedure. However, for a transvaginal ultrasound, a full bladder is not required.
  • Procedure: You will be asked to lie on an examination table with your feet in stirrups. The ultrasound technician will insert a lubricated transducer into the vagina to obtain clear images of the uterus and the developing embryo.
  • Duration: The procedure typically takes about 15-30 minutes.
  • Results: The ultrasound technician will review the images and provide initial findings. However, a detailed report will be provided by your healthcare provider.

📝 Note: It is normal to feel some discomfort during the transvaginal ultrasound, but it should not be painful. If you experience significant discomfort, inform the technician immediately.

Interpreting the Results of a 6 Week Ultrasound

The results of a 6 week ultrasound provide valuable information about the early stages of pregnancy. Here are some key findings to look for:

  • Gestational Sac: The presence of a gestational sac confirms the pregnancy. It appears as a small, fluid-filled structure within the uterus.
  • Yolk Sac: By week 6, a yolk sac may be visible. This structure provides early nutrition to the embryo and is a positive sign of a healthy pregnancy.
  • Fetal Pole: The fetal pole is the earliest visible structure of the embryo. It appears as a small, curved line within the gestational sac.
  • Fetal Heartbeat: A fetal heartbeat may be detectable by week 6, although it is more commonly seen by week 7. The heartbeat appears as a flickering motion on the ultrasound screen.

Common Findings and Their Implications

During a 6 week ultrasound, several findings can provide insights into the health of the pregnancy. Here are some common findings and their implications:

Finding Implication
Gestational Sac Confirms the presence of a pregnancy.
Yolk Sac Indicates a healthy early pregnancy.
Fetal Pole Confirms the presence of an embryo.
Fetal Heartbeat Provides reassurance of a viable pregnancy.
No Gestational Sac May indicate an early pregnancy loss or an ectopic pregnancy.
Abnormal Yolk Sac May suggest chromosomal abnormalities or other issues.

📝 Note: If the ultrasound findings are concerning, your healthcare provider will discuss the next steps, which may include additional testing or follow-up ultrasounds.

When to Seek Further Evaluation

While a 6 week ultrasound provides valuable information, there are instances where further evaluation may be necessary. Here are some situations that warrant additional testing:

  • Absence of a Gestational Sac: If no gestational sac is visible, further ultrasounds may be recommended to confirm the presence of a pregnancy.
  • Abnormal Yolk Sac: An abnormal yolk sac may indicate chromosomal abnormalities or other issues, requiring further genetic testing.
  • No Fetal Heartbeat: The absence of a fetal heartbeat may suggest an early pregnancy loss, and follow-up ultrasounds will be necessary to monitor the situation.
  • Ectopic Pregnancy: If an ectopic pregnancy is suspected, immediate medical attention is required to prevent complications.

Emotional Support During Early Pregnancy

Early pregnancy can be an emotional rollercoaster, and the 6 week ultrasound is a significant milestone. Here are some tips for emotional support during this time:

  • Stay Informed: Educate yourself about the early stages of pregnancy and what to expect during the 6 week ultrasound.
  • Communicate with Your Partner: Share your feelings and concerns with your partner, and seek their support.
  • Seek Professional Help: If you experience anxiety or depression, do not hesitate to seek help from a mental health professional.
  • Join Support Groups: Connect with other expectant parents through support groups or online forums.

📝 Note: It is normal to feel a range of emotions during early pregnancy. Trust your instincts and seek support when needed.

Conclusion

The 6 week ultrasound is a crucial step in early pregnancy monitoring, providing valuable insights into the developing fetus and offering reassurance to expectant parents. Understanding the significance of this ultrasound, what to expect during the procedure, and how to interpret the results can help alleviate anxiety and prepare you for the journey ahead. By staying informed and seeking support when needed, you can navigate the early stages of pregnancy with confidence and excitement.

Related Terms:

  • 6 week old embryo
  • 5 week ultrasound
  • 8 week ultrasound
  • normal 6 week ultrasound pictures
  • 6 weeks pregnant
  • 6 week ultrasound fetal pole