6 Week Sonogram Twins

6 Week Sonogram Twins

Embarking on the journey of parenthood is an exciting and transformative experience, especially when expecting twins. One of the most anticipated milestones in this journey is the 6 week sonogram twins appointment. This early ultrasound provides crucial insights into the development of the twins and helps ensure a healthy pregnancy. Understanding what to expect during this appointment can alleviate anxiety and prepare parents for the road ahead.

Understanding the 6 Week Sonogram Twins

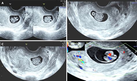
A 6 week sonogram twins is typically the first ultrasound performed during a twin pregnancy. At this stage, the embryos are still very small, but the ultrasound can detect the presence of two gestational sacs, which are the early structures that will develop into the amniotic sacs. This confirmation is essential for early detection and monitoring of twin pregnancies.

What to Expect During the 6 Week Sonogram Twins

During the 6 week sonogram twins appointment, several key steps and observations are made:

  • Transvaginal Ultrasound: At 6 weeks, a transvaginal ultrasound is often used because it provides a clearer image of the uterus and the developing embryos. This procedure involves inserting a small probe into the vagina, which emits sound waves to create images of the uterus.
  • Detection of Gestational Sacs: The primary goal of the 6 week sonogram twins is to detect the presence of two gestational sacs. Each sac contains an embryo and will eventually develop into an amniotic sac.
  • Heartbeat Detection: While it is possible to detect fetal heartbeats at 6 weeks, it is not always guaranteed. The heartbeats may be visible as flickering movements within the gestational sacs.
  • Measurement of Embryos: The ultrasound technician will measure the size of the embryos to ensure they are developing at the expected rate. This measurement is crucial for assessing the health and viability of the twins.

It is important to note that the 6 week sonogram twins may not always provide a definitive answer about the viability of the pregnancy. In some cases, the embryos may be too small to detect clearly, or the gestational sacs may not be visible. If there are any concerns, additional ultrasounds may be scheduled to monitor the progress of the pregnancy.

πŸ“ Note: The 6 week sonogram twins is a critical step in confirming a twin pregnancy, but it is just the beginning of regular monitoring throughout the pregnancy.

Importance of Early Detection

Early detection of a twin pregnancy through a 6 week sonogram twins is crucial for several reasons:

  • Monitoring Growth and Development: Twin pregnancies often require more frequent monitoring to ensure both babies are growing at a healthy rate. Early detection allows healthcare providers to establish a baseline for growth and development.
  • Identifying Potential Complications: Twin pregnancies are at a higher risk for complications such as preterm labor, gestational diabetes, and preeclampsia. Early detection enables healthcare providers to implement preventive measures and closely monitor for any signs of complications.
  • Planning for Delivery: Knowing that you are carrying twins allows for better planning and preparation for the delivery. This includes choosing the appropriate healthcare facility and ensuring that specialized care is available if needed.

Early detection also provides emotional support for parents, allowing them to prepare mentally and emotionally for the arrival of twins. It is an exciting time, and knowing the details of the pregnancy can help alleviate anxiety and build anticipation.

Preparing for the 6 Week Sonogram Twins

Preparing for the 6 week sonogram twins appointment involves several steps to ensure a smooth and informative experience:

  • Schedule the Appointment: Contact your healthcare provider to schedule the 6 week sonogram twins appointment. This is typically done around the 6-week mark of your pregnancy.
  • Hydrate Adequately: Drinking plenty of water before the ultrasound can help improve the clarity of the images. A full bladder can also make it easier to visualize the uterus and the developing embryos.
  • Wear Comfortable Clothing: Choose comfortable clothing that allows easy access to your abdomen for the ultrasound. You may also want to wear a loose-fitting top or dress.
  • Bring a Support Person: Having a partner, family member, or friend with you during the appointment can provide emotional support and help you remember important information.

During the appointment, the ultrasound technician will explain the procedure and answer any questions you may have. It is important to feel comfortable and informed throughout the process.

πŸ“ Note: If you have any concerns or questions about the 6 week sonogram twins appointment, do not hesitate to discuss them with your healthcare provider beforehand.

Interpreting the Results

After the 6 week sonogram twins, the ultrasound technician will review the images and provide initial findings. However, a detailed interpretation will be provided by your healthcare provider. Here are some key points to consider:

  • Presence of Gestational Sacs: The detection of two gestational sacs confirms a twin pregnancy. This is a crucial finding that sets the stage for ongoing monitoring and care.
  • Fetal Heartbeats: If fetal heartbeats are detected, it is a positive sign of viability. However, the absence of heartbeats at this stage does not necessarily indicate a problem, as it may be too early to detect them.
  • Embryo Measurements: The size of the embryos will be measured to ensure they are developing at the expected rate. Any discrepancies may require further monitoring or additional tests.

Your healthcare provider will discuss the results with you and address any concerns or questions you may have. They will also outline the next steps in your prenatal care, including scheduling future ultrasounds and appointments.

Common Questions About 6 Week Sonogram Twins

Parents often have many questions about the 6 week sonogram twins appointment. Here are some common queries and their answers:

  • Is the 6 week sonogram twins painful? The transvaginal ultrasound used during the 6 week sonogram twins may cause some discomfort, but it is generally not painful. The procedure is quick and well-tolerated by most patients.
  • What if only one gestational sac is detected? If only one gestational sac is detected, it may indicate a single pregnancy or a vanishing twin, where one embryo did not develop. Further monitoring will be necessary to confirm the status of the pregnancy.
  • Can the gender of the twins be determined at 6 weeks? At 6 weeks, it is too early to determine the gender of the twins. Gender determination typically occurs during the 18-20 week ultrasound.
  • What if the fetal heartbeats are not detected? The absence of fetal heartbeats at 6 weeks does not necessarily indicate a problem. It may be too early to detect them, and additional ultrasounds may be scheduled to monitor the progress of the pregnancy.

If you have any specific concerns or questions, it is best to discuss them with your healthcare provider during the appointment.

πŸ“ Note: The 6 week sonogram twins is just the beginning of regular monitoring throughout your twin pregnancy. Stay in close communication with your healthcare provider to ensure the best possible outcomes for you and your babies.

Emotional and Psychological Support

Expecting twins can be both exciting and overwhelming. The 6 week sonogram twins appointment is a significant milestone that can evoke a range of emotions. Here are some tips for managing the emotional and psychological aspects of this journey:

  • Seek Support: Reach out to friends, family, or support groups for expecting parents. Sharing your experiences and concerns with others who are going through the same journey can provide comfort and encouragement.
  • Educate Yourself: Learn about twin pregnancies, the development of twins, and the potential challenges you may face. Knowledge can empower you and help you feel more prepared.
  • Practice Self-Care: Take care of your physical and emotional well-being. Engage in activities that bring you joy and relaxation, such as prenatal yoga, meditation, or spending time in nature.
  • Communicate with Your Partner: Maintain open and honest communication with your partner about your feelings and concerns. Support each other and work together to prepare for the arrival of your twins.

Remember that it is normal to feel a mix of emotions during this time. Embrace the journey and seek support when needed.

Future Ultrasounds and Monitoring

After the 6 week sonogram twins, regular monitoring and ultrasounds will be scheduled to ensure the health and development of your twins. Here is what you can expect:

  • 8-10 Week Ultrasound: This ultrasound will provide a more detailed view of the twins and their development. It is also a good time to confirm the presence of two separate placentas, which is important for monitoring the health of each twin.
  • 12-14 Week Ultrasound: This ultrasound is often used to screen for chromosomal abnormalities and other potential issues. It is also a good time to assess the growth and development of the twins.
  • 18-20 Week Ultrasound: This is the anatomy scan, which provides a detailed view of the twins' organs and structures. It is also a good time to determine the gender of the twins, if desired.
  • Regular Check-Ups: In addition to ultrasounds, regular check-ups with your healthcare provider will be scheduled to monitor your health and the development of your twins. These check-ups may include blood tests, urine tests, and other assessments.

Your healthcare provider will work with you to develop a personalized monitoring plan based on your specific needs and the progress of your pregnancy.

πŸ“ Note: Regular monitoring and ultrasounds are essential for ensuring the health and development of your twins. Follow your healthcare provider's recommendations for the best possible outcomes.

Nutrition and Lifestyle for Twin Pregnancies

Carrying twins requires additional nutritional and lifestyle considerations to support the growth and development of both babies. Here are some key points to keep in mind:

  • Nutrition: A balanced diet rich in nutrients is essential for twin pregnancies. Focus on consuming a variety of fruits, vegetables, lean proteins, whole grains, and healthy fats. Your healthcare provider may also recommend prenatal vitamins and supplements to ensure you are getting all the necessary nutrients.
  • Hydration: Staying hydrated is crucial for both you and your babies. Aim to drink at least 8-10 glasses of water per day, and more if recommended by your healthcare provider.
  • Exercise: Regular exercise can help maintain your physical and emotional well-being during pregnancy. Choose low-impact activities such as walking, swimming, or prenatal yoga. Always consult your healthcare provider before starting any new exercise routine.
  • Rest: Adequate rest is essential for supporting your body and the development of your twins. Aim for 7-9 hours of sleep per night, and listen to your body's needs for additional rest throughout the day.

Your healthcare provider can provide personalized recommendations for nutrition and lifestyle based on your specific needs and the progress of your pregnancy.

Potential Complications and Risks

Twin pregnancies are associated with a higher risk of complications compared to single pregnancies. Being aware of these potential issues can help you and your healthcare provider take proactive measures to ensure a healthy pregnancy. Here are some common complications to be mindful of:

  • Preterm Labor: Twin pregnancies are at a higher risk for preterm labor, which can occur before 37 weeks of gestation. Regular monitoring and early intervention can help manage this risk.
  • Gestational Diabetes: Twin pregnancies are more likely to develop gestational diabetes, a condition that affects blood sugar levels. Regular screening and management can help prevent complications.
  • Preeclampsia: Preeclampsia is a pregnancy complication characterized by high blood pressure and organ damage, such as liver and kidney problems. Regular monitoring and early intervention can help manage this risk.
  • Intrauterine Growth Restriction (IUGR): IUGR occurs when one or both twins do not grow at the expected rate. Regular ultrasounds and monitoring can help detect and manage this condition.

Your healthcare provider will work with you to monitor for these potential complications and provide appropriate care and interventions as needed.

πŸ“ Note: Regular prenatal care and monitoring are essential for identifying and managing potential complications in twin pregnancies. Stay in close communication with your healthcare provider throughout your pregnancy.

Preparing for the Arrival of Twins

As your pregnancy progresses, it is important to prepare for the arrival of your twins. Here are some steps to help you get ready:

  • Educate Yourself: Learn about the unique needs and challenges of caring for twins. Attend prenatal classes, read books, and seek advice from experienced parents of twins.
  • Gather Supplies: Stock up on essential supplies such as diapers, wipes, clothing, and feeding equipment. Having everything you need on hand can make the transition to parenthood smoother.
  • Prepare Your Home: Create a safe and comfortable environment for your twins. Set up a nursery with separate cribs or a twin-sized crib, and ensure your home is baby-proofed.
  • Build a Support Network: Reach out to friends, family, and support groups for expecting parents of twins. Having a strong support network can provide emotional and practical help during this exciting time.

Remember that preparing for the arrival of twins is a journey, and it is okay to take it one step at a time. Embrace the process and enjoy the anticipation of meeting your little ones.

πŸ“ Note: Preparing for the arrival of twins involves both practical and emotional preparation. Take the time to educate yourself, gather supplies, and build a support network to ensure a smooth transition to parenthood.

Emotional and Psychological Support

Expecting twins can be both exciting and overwhelming. The 6 week sonogram twins appointment is a significant milestone that can evoke a range of emotions. Here are some tips for managing the emotional and psychological aspects of this journey:

  • Seek Support: Reach out to friends, family, or support groups for expecting parents. Sharing your experiences and concerns with others who are going through the same journey can provide comfort and encouragement.
  • Educate Yourself: Learn about twin pregnancies, the development of twins, and the potential challenges you may face. Knowledge can empower you and help you feel more prepared.
  • Practice Self-Care: Take care of your physical and emotional well-being. Engage in activities that bring you joy and relaxation, such as prenatal yoga, meditation, or spending time in nature.
  • Communicate with Your Partner: Maintain open and honest communication with your partner about your feelings and concerns. Support each other and work together to prepare for the arrival of your twins.

Remember that it is normal to feel a mix of emotions during this time. Embrace the journey and seek support when needed.

πŸ“ Note: The 6 week sonogram twins is just the beginning of regular monitoring throughout your twin pregnancy. Stay in close communication with your healthcare provider to ensure the best possible outcomes for you and your babies.

In conclusion, the 6 week sonogram twins is a crucial milestone in the journey of expecting twins. It provides early detection and confirmation of a twin pregnancy, allowing for better monitoring and care throughout the pregnancy. Understanding what to expect during this appointment, preparing adequately, and seeking support can help ensure a healthy and positive experience. Embrace the journey, stay informed, and enjoy the anticipation of welcoming your twins into the world.

Related Terms:

  • 6 weeks fetus pictures
  • 6 weeks pregnancy ultrasound pictures
  • 6 weeks 2 days ultrasound
  • 6 week ultrasound bellybelly
  • 10 week ultrasound identical twins
  • 6 weeks pregnant ultrasound images